Autores: Brendon Carlos, Daniela Nunes, Deividson Luiz, José Yvan, Kátia Pereira, Millena Lúdke. Disciplina: Histologia Veterinária, Prof. Júlio Dias, IFNMG - Campus Salinas
terça-feira, 25 de maio de 2021
Lâmina exócrina com ducto excretor e porção secretora
Tecido Glandular ou Secretor – Glândulas Exócrinas
As glândulas produzem e eliminam substâncias necessárias ao funcionamento de tecidos, órgãos e sistemas. O tecido epitelial além de sua função de revestimento forma as glândulas. Todas as glândulas se formam ainda no estagio embrionário, a partir de superfícies epiteliais, de maneira parecida: as células da superfície epitelial multiplicam-se e aprofundam-se nos tecidos mais internos, formando um cordão celular que cresce para o interior do tecido conjuntivo sub epitelial.
Fonte das Imagens: https://blogger.googleusercontent.com/img/b/R29vZ2xl/AVvXsEjg-mMM8aGhiA7mbkFd0hFYihWcsGWeZdzZaDE26a-e9xAe2Ct2i0xvsdFrX_mfNaC7Xo1LDJRzUijp4UuGMy9CniIrTTg2dSH3_xoUSngReHnI3zSA1zO9wHBgczT23dKnWoQjNbk_3rk/s1600/exoendouni.jpg
Especializações da Superfície Celular
Tecido Epitelial de Revestimento – Histologia Interativa (unifal-mg.edu.br)
CíliosFonte da imagem: https://www.unifal-mg.edu.br/histologiainterativa/tecido-epitelial-de-revestimento-2/
Lâmina da Traqueia
Fonte da imagem: TORQUATTO, E.F.B.; LIMA, B.; BRANCALHÃO, R.M.C.; GUEDES, N.L.K.O. Tecido epitelial, 2016. Disponível em: http://projetos.unioeste.br/projetos/microscopio/index.php?option=com_phocagallery&view=category&id=28:pseudo-estratificado-cilindrico-ciliado&Itemid=77
Epitélio Pseudoestratificado
Lâmina da Bexiga
Epitélio de Transição
O epitélio de transição reveste internamente a bexiga e outros órgãos do aparelho urinário.
em 1: https://www.bing.com/images/blob?bcid=Tntt5iLepskCblENovP-bGrqt0oj.....5I
Epitélio de Transição
Bexiga Urinária : Aumento de 4x.Coloração: Hematoxilina e Eosina.Legenda: EpT: Epitélio de Transição; PrM: Preguas da mucosa; LP: Lâmina Própria; M: Mucosa; Tm: Túnica Muscular; Fm: Feixe muscular.Fontes da imagem 2 : https://histologia.jatai.ufg.br/n/73545-epitelio-de-transicao-4x
segunda-feira, 24 de maio de 2021
Junções Celulares
Junções intercelulares são várias estruturas associadas a membrana plasmática que contribuem para a coesão e a comunicação entre as células, estão presentes em uma grande maioria de tecidos mas principalmente em epitélios, do ponto de vista funcional podem ser classificadas como: junções de adesão (zônulas de adesão, hemidesmossomos e desmossomos), junções impermeáveis (zônulas de oclusão) e junção de comunicação (junções comunicantes ou junções gap)
(JUNQUEIRA E CARNEIRO,2011).
Fonte da Imagem:membrana-plasmtica-61-728.jpg (728×504) (slidesharecdn.com)
quinta-feira, 20 de maio de 2021
Ligações intermoleculares
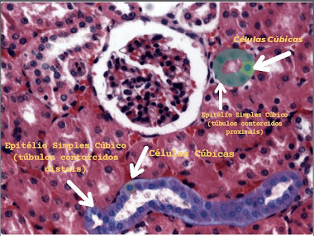
Lamina de rim
TECIDO EPITELIAL SIMPLES CÚBICO
Lâmina de RIM;
Coloração Hematoxilina-Eosina
10X (aumento médio).
Fonte 01: https://www.infoescola.com/histologia/juncoes-intercelulares/
Fonte 02: https://editora.pucrs.br/edipucrs/acessolivre/livros/atlas-de-histologia/tecido-epitelial-simples.html
Sistema Hematopoiético
Medula Óssea A medula óssea é um órgão difuso, no entanto volumoso e muito ativo. É encontrada no canal medular dos ossos longos e nas cavid...
-
Região Medular e Cortical do Ovário No ovário identificamos duas porções distintas: a medula do ovário, que é constituída por tecido conj...
-
- Intestino grosso- É constituído por: ceco, cólon ascendente, cólon transverso, cólon descendente, cólon sigmóide, reto e ânus, sendo este ...
-
Rúmen Nos ruminantes, o estômago é composto de quatro compartimentos distintos estruturalmente. Os três primeiros são o rúmen, o retícul...




















