Região Medular e Cortical do Ovário
No ovário identificamos duas
porções distintas: a medula do ovário, que é constituída por tecido conjuntivo
frouxo, rico em vasos sangüíneos, célula hilares (intersticiais), e a córtex do
ovário, rica em folículos ovarianos, corpo lúteo e células intersticiais. Na
região cortical predominam os folículos ovarianos, os quais são formados por
ovócitos envolvidos por células epiteliais (células foliculares ou da
granulosa). A superfície do ovário é revestida por um epitélio (de origem
celomática) que varia do tipo pavimentoso ao cilíndrico simples (denominado
impropriamente de epitélio germinativo).
Logo abaixo deste epitélio
há uma camada de tecido conjuntivo denso, a túnica albugínea. O estroma do
ovário, entre as estruturas medulares e corticais, possui algumas células
fusiformes, denominadas de células intersticiais ou de Leydig. Estas últimas
respondem aos estímulos das gonadotrofinas e produzem hormônios sexuais,
principalmente androgênios. Na região cortical, dependendo da fase e da idade,
podem-se identificar: foliculos ovarianos, corpo lúteo e corpos albicantes.
O ovócito fica
contido numa vesícula denominada folículo ovariano. A formação do folículo se
inicia com cerca de 18 semanas, perto da metade da vida .
Inicialmente, o ovócito primário está envolvido por uma única camada de células
epiteliais achatadas - folículo primordial - depois por uma
camada de células cubóides ou colunares - folículo primário -
a seguir por um epitélio estratificado - folículo secundário -
e, finalmente, por células que delimitam uma cavidade cheia de líquido, o
antro- folículo terciário ou vesicular.
Alguns dias
após o cio, um novo folículo será escolhido (folículo dominante), o
ovócito atinge a segunda divisão meiótica, aumenta rapidamente de tamanho
mediante a produção de fluido intercelular, e atinge o estágio de folículo
secundário e, posteriormente, de folículo terciário (folículo
de De Graaf). A maioria dos folículos secundários e terciários regride formando
folículos atrésicos.
O ovócito
adquire uma cobertura chamada zona pelúcida, que é secretada tanto pelo
ovócito, como pelas células foliculares. Envoltório transparente, acelular,
glicoprotéica que age como barreira para os espermatozóides. Depois da
fertilização, ela bloqueia a poliespermia e protege o embrião. Durante a
formação do antro, as células foliculares se comprimem periféricamente e formam
o estrato granuloso, em torno do qual o estroma ovariano se condensa formando
uma camada glandular, a teca interna. O desenvolvimento folicular completo e a
ovulação dependem do estímulo do ovário pelo hormônio FSH e LH, provenientes da
hipófise.
O corpo lúteo é uma estrutura que é formada nos
ovários logo após a ovulação. Os ovários são duas estruturas arredondadas que
ficam ao lado do útero e são responsáveis por liberar os óvulos durante o o
ciclo menstrual. Todos os meses os ovários são estimulados durante o ciclo
menstrual e um folículo amadurece, liberando um óvulo. O
óvulo quando fecundado irá ser captado pelas trompas por onde seguirá até o
útero para formar o embrião.
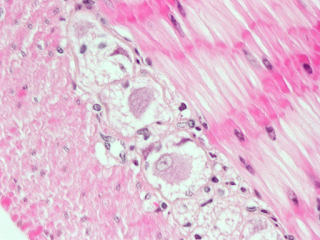
Tubas Uterinas
As tubas uterinas são também denominadas ovidutos, anteriormente conhecidas como trompas de Falópio, são dois tubos musculares de grande mobilidade, pertencentes ao sistema reprodutivo das fêmeas de mamíferos, são responsáveis por transportar o óvulo em direção ao útero. Uma de suas extremidades (o infundíbulo) abre-se na cavidade peritoneal próximo ao ovário e possui prolongamentos no formato de franjas, as chamadas fímbrias; a outra extremidade (intramural) atravessa a parede do útero e se abre no interior deste órgão. As tubas uterinas são divididas em três porções, denominadas de istmo, ampola e infundíbulo. No infundíbulo existem fimbrias que “abraçam” o ovário para pegar o ovócito. O encontro do espermatozoide com o ovócito ocorre na junção istmo ampola, onde ocorre a fertilização. A mucosa possui dobras longitudinais, que são numerosas na ampola e elas vão se tornando menores, quanto mais próximo ao útero, ela é constituído de epitélio cilíndrico simples com células secretoras e células ciliadas e uma lâmina própria de tecido conjuntivo frouxo. A camada muscular é divida em interna (circular) e externa (longitudinal) e também tem tecido conjuntivo frouxo entre elas, e por ultimo uma camada de tecido conjuntivo e mesotélio, chamado de serosa.
Quanto à histologia, o útero é revestido por três camadas de tecidos, denominadas de: perimétrio, miométrio e endométrio.
- Perimétrio é a camada mais externa, constituída por tecido conjuntivo.
- Miométrio é camada intermediária, constituída de musculatura lisa. O miométrio possibilita as contrações no momento do parto. Durante a gestação as fibras lisas aumentam de número e tamanho.
- Endométrio é a camada mais interna formada de tecido epitelial altamente vascularizado. Ele reveste toda a cavidade uterina.
O endométrio é responsável por alojar o embrião na parede do útero e irá nutri-lo durante o início da gestação, até a formação da placenta
Fontes:
01: https://www.sanarmed.com/histologia-do-sistema-reprodutor-feminino
02:https://histologia.icb.ufg.br/repfem.html
03: https://www.famema.br/ensino/embriologia/ovogeneseroteiro.php
05:https://wp.ufpel.edu.br/historep/fotos-do-laminario-prova-pratica-2-veterinaria/
06:http://www.atlashistovet.uff.br/uterocopia.htm#
07:http://atlashistologia.fmv.ulisboa.pt/atlas/?p=fgenital&id=9
08: https://www.scielo.br/j/pvb/a/xZ5gnPcNGw48xNG688TsfjR/?lang=ptpt
09: http://www.eagaspar.com.br/mcguido/foliculogenese.htm
10: https://brasilescola.uol.com.br/o-que-e/biologia/o-que-e-ovulacao.htm






















