segunda-feira, 13 de dezembro de 2021

Sistema Hematopoiético

Medula Óssea

A medula óssea é um órgão difuso, no entanto volumoso e muito ativo. É encontrada no canal medular dos ossos longos e nas cavidades dos ossos esponjosos. Diferenciam-se da medula óssea vermelha, hematógena, que tem essa cor graças a numerosos eritrócitos (hemácias) em diversos estágios de maturação, já a medula óssea amarela, é abundante em células adiposas e que não apresenta células sanguíneas. A medula óssea é uma fonte de células-tronco para outros tecidos, onde podem produzir diversos tecidos, e não apenas células sanguíneas. Possuindo um grande potencial de diferenciação, essas células tornam viável a produção de células especializadas que não são rejeitadas pelo organismo, uma vez que se originam da medula da própria pessoa. Depois de coletadas da medula óssea e isoladas por meio de marcadores específicos, as células-tronco são cultivadas em meio que dirige a diferenciação para que possa originar as células especializadas que se ansia transplantar. Desse modo, podem ser então utilizadas para substituir as células de que o paciente carece. Nesse caso, o doador e o receptor são a mesma pessoa, e existe total histocompatibilidade, o que reduz exponencialmente a possibilidade de rejeição.

Todos esses estudos ainda estão em desenvolvimento, porém os resultados parecem promissores. Os benefícios têm sido atribuídos a dois mecanismos de ação, porém ainda não estão totalmente esclarecidos, o efeito parácrino de fatores secretados pelas células-tronco e diferenciação das células-tronco in situ para reposição do tecido lesionado, necessitando assim resultados mais precisos.

A medula óssea consiste em:

·  (1) células-tronco hematopoiéticas, células multipotentes capazes de auto renovação;

·  (2) células precursoras comprometidas (célula-tronco mielóide e célula-tronco Iinfóide);

·  (3) células em maturação.

As células-tronco hematopoiéticas possuem a capacidade de auto renovação, e produzem duas células precursoras comprometidas: a célula-tronco mielóide e a célula-tronco linfóide, que se desenvolvem em suas progenies celulares diferentes. A auto renovação é uma propriedade essencial das células-tronco, fornecem progenitores mielóides comuns e progenitores Iinfóides comuns para a via de diferenciação ou maturação.

A liberação de células maduras da medula para o sangue irá ocorrer através de migração pelo  endotélio, perto das junções intercelulares. Em geral, o desenvolvimento e maturação envolve a perda de receptores de adesão célula-célula e célula-matriz, assim podem ser controladas por fatores de liberação (moléculas produzidas em resposta às necessidades do organismo).

  • Além de produzir as células do sangue, a medula óssea também armazena ferro sob a forma de ferritina e de hemossiderina, essencialmente no citoplasma dos macrófagos. A ferritina é constituída pelo ferro ligado a uma proteína, denominada apoferritina. A hemossiderina é um complexo heterogêneo que contém ferro, apoferritina e outras proteínas, glicídios, lipídios e outras moléculas. Outra função da medula óssea vermelha é a destruição de eritrócitos envelhecidos.


As séries hemopoéticas se distribuem em compartimentos, parecendo soltas, mas, na verdade, estão ancoradas às células reticulares da medula. Os megacariócitos são as células mais visíveis, maiores, de núcleo polilobado. São distribuídos aleatoriamente, cerca de 2 a 5 por espaço intertrabecular, geralmente não agrupados. A série eritroblástica  está visível como pequenos.cachos de células de núcleos arredondados, escuros, longe das trabéculas ósseas. A série granulocítica se distribui por todo o espaço intertrabecular.



Medula Óssea - H&E- Obj(  40x)







Trabéculas ósseas (a)
(Matriz desmineralizada) - (b)
Osteoblastos - (seta 1)
Osteócitos - (seta 2)
Ostoclastos em coluna de reabsorção (Howship) - (seta 3)





Medula Óssea- H&E- Obj (40x)



Fontes: 


quinta-feira, 9 de dezembro de 2021


Corte de rim em aumento

 

Corte de rim em aumento de 40x, corado por Hematoxilina-Eosina (HE). A seta preta aponta a cápsula de Bowman; a seta laranja, o espaço capsular; a seta azul indica a mácula densa. A estrela indica o glomérulo renal. Em 1, observa-se túbulos contorcidos proximais; e em 2, túbulos contorcidos distais

 

Corte de rim em aumento de 40x, corado por Hematoxilina-Eosina (HE). A foto contempla um tubo coletor, com epitélio variando do cúbico ao cilíndrico.
 

Medular - Alça de Henle ramo delgado (3) epitélio simples pavimentoso
Ramo espesso (4) epitélio simples cubico

 

Tubo coletor de bellini (5) epitélio simples c ubico Cortical (córtex) (A) Capsula; Glomérulo ( corpúsculo renal de malpighi) (B); medular (C)

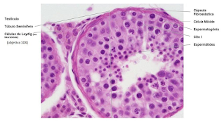
Tenstículo 



 



Corte histológico do testículo. Túbulos seminíferos e tecido intersticial (100 X
)

 

Epidídimos

 

Os epidídimos são dois tubos que conectam os testículos ao canal deferente e estão localizados na bolsa escrotal. Eles são responsáveis parte do processo de maturação, às vezes do armazenamento e também do transporte dos espermatozoides.

 

Ductor deferente


Os canais deferentes são dois tubos, do tamanho de um fio de espaguete aproximadamente, que ligam os epidídimos às vesículas seminais. Também chamados de ductos deferentes, a sua função é transportar os espermatozoides depois de seu amadurecimento para que eles se juntem aos líquidos seminais formando o sêmen.

 

Ureter

 

É um órgão muscular que conduz a urina do rim até a bexiga. Assim como os rins, são em número de dois. Cada um mede aproximadamente 25 cm. O ureter atravessa obliquamente a parede da bexiga, de modo que se forme uma válvula que impede o refluxo da urina. O ureter é composto por três túnicas, que são as seguintes:

 

• Túnica Mucosa: epitélio de revestimento + lâmina própria

 

– É constituído pelo epitélio de revestimento de transição, é um epitélio estratificado cuja camada mais superficial é formada por células globosas, nem pavimentosas e nem prismáticas. A forma dessas células muda de acordo com o grau de distensão do órgão, podendo ficar achatadas quando o mesmo estiver repleto.

 

– Lâmina própria constituída de tecido conjuntivo que varia de frouxo ao denso.

 

• Túnica Muscular

 

– É constituída por uma camada longitudinal interna e circular externa. Na parte proximal da uretra, a musculatura da bexiga forma o esfíncter interno da mesma. O ureter atravessa obliquamente a parede da bexiga, de modo que se forma uma válvula que impede o refluxo de urina. A parte do ureter colocada na parede da bexiga mostra apenas o músculo longitudinal cuja contração abre a válvula e facilita a passagem da urina do ureter para a bexiga.

 

Túnica Adventícia- constituída por Tecido Conjuntivo Fibroelástico que reveste externamente o ureter.

 

 

 

 

 

 

 

 


 

Ureter

 


 

Bexiga

 

É um órgão que recebe a urina formada pelos rins, armazena-a por algum tempo e a conduz ao exterior à medida que aumenta a quantidade de urina dentro da bexiga, o que faz com que se eleve a pressão endovesical (normalmente 10 cm de água) e, por volta de 200-300 ml, desencadeia o reflexo da micção. A bexiga também é composta por três túnicas, que são as seguintes:

 

• Túnica Mucosa

 

– Epitélio estratificado de transição (polimorfo). – Lâmina própria de tecido conjuntivo denso.

 

• Túnica Muscular

 

– É constituída por uma camada longitudinal interna e circular externa.

 

• Túnica Adventícia- envolve externamente a bexiga, constituída por tecido conjuntivo fibroelástico. Em sua porção superior, a bexiga possui uma pequena região revestida por uma membrana serosa (peritônio).

 

Bexiga


 

 

 

 

 

 

 

 

 

 

 

 

 

 


Referência

Histologia interativa; Sistema urinário. Disponível em: https://www.unifal-mg.edu.br/histologiainterativa/sistema-urinario/

Sistema Urinário (ufg.br)) 

Aprendendo Embriologia (famema.br)

Sistema Urinário

 

Corte de rim em aumento de 40x, corado por Hematoxilina-Eosina (HE). A seta preta aponta a cápsula de Bowman; a seta laranja, o espaço capsular; a seta azul indica a mácula densa. A estrela indica o glomérulo renal. Em 1, observa-se túbulos contorcidos proximais; e em 2, túbulos contorcidos distais

 

Corte de rim em aumento de 40x, corado por Hematoxilina-Eosina (HE). A foto contempla um tubo coletor, com epitélio variando do cúbico ao cilíndrico.

 

 Medular - Alça de Henle ramo delgado (3) epitélio simples pavimentoso

Ramo espesso (4) epitélio simples cubico

Tubo coletor de bellini (5) epitélio simples cubico



Cortical (córtex) (A) Capsula; Glomérulo ( corpúsculo renal de malpighi) (B); medular (C)




Epidídimos

 

Os epidídimos são dois tubos que conectam os testículos ao canal deferente e estão localizados na bolsa escrotal. Eles são responsáveis parte do processo de maturação, às vezes do armazenamento e também do transporte dos espermatozoides.

 

Ductor deferente

Os canais deferentes são dois tubos, do tamanho de um fio de espaguete aproximadamente, que ligam os epidídimos às vesículas seminais. Também chamados de ductos deferentes, a sua função é transportar os espermatozoides depois de seu amadurecimento para que eles se juntem aos líquidos seminais formando o sêmen.

 

Ureter

É um órgão muscular que conduz a urina do rim até a bexiga. Assim como os rins, são em número de dois. Cada um mede aproximadamente 25 cm. O ureter atravessa obliquamente a parede da bexiga, de modo que se forme uma válvula que impede o refluxo da urina. O ureter é composto por três túnicas, que são as seguintes:

• Túnica Mucosa: epitélio de revestimento + lâmina própria

– É constituído pelo epitélio de revestimento de transição, é um epitélio estratificado cuja camada mais superficial é formada por células globosas, nem pavimentosas e nem prismáticas. A forma dessas células muda de acordo com o grau de distensão do órgão, podendo ficar achatadas quando o mesmo estiver repleto.

– Lâmina própria constituída de tecido conjuntivo que varia de frouxo ao denso.

• Túnica Muscular

– É constituída por uma camada longitudinal interna e circular externa. Na parte proximal da uretra, a musculatura da bexiga forma o esfíncter interno da mesma. O ureter atravessa obliquamente a parede da bexiga, de modo que se forma uma válvula que impede o refluxo de urina. A parte do ureter colocada na parede da bexiga mostra apenas o músculo longitudinal cuja contração abre a válvula e facilita a passagem da urina do ureter para a bexiga.

•Túnica Adventícia- constituída por Tecido Conjuntivo Fibroelástico que reveste externamente o ureter.

 

 



Bexiga

É um órgão que recebe a urina formada pelos rins, armazena-a por algum tempo e a conduz ao exterior à medida que aumenta a quantidade de urina dentro da bexiga, o que faz com que se eleve a pressão endovesical (normalmente 10 cm de água) e, por volta de 200-300 ml, desencadeia o reflexo da micção. A bexiga também é composta por três túnicas, que são as seguintes:

• Túnica Mucosa

– Epitélio estratificado de transição (polimorfo). – Lâmina própria de tecido conjuntivo denso.

• Túnica Muscular

– É constituída por uma camada longitudinal interna e circular externa.

• Túnica Adventícia- envolve externamente a bexiga, constituída por tecido conjuntivo fibroelástico. Em sua porção superior, a bexiga possui uma pequena região revestida por uma membrana serosa (peritônio).



 Referência:

Histologia interativa; Sistema urinário. Disponível em: https://www.unifal-mg.edu.br/histologiainterativa/sistema-urinario/

 

 

 

 

 


 

 

 

 

 

 

 

 

 

 

 

 

 

Sistema Hematopoiético

Medula Óssea A medula óssea é um órgão difuso, no entanto volumoso e muito ativo. É encontrada no canal medular dos ossos longos e nas cavid...